La aparición de los crecimientos de color amarillento en los párpados, constituye una razón para preocuparse. Antes, al ver estas manchas en las personas de edad avanzada, yo solía pensar que sólo se trataba de un problema estético. Resultó, que es algo mucho peor…
¡Si descubriste tales placas en tus párpados o en los de tus seres queridos, debes actuar de inmediato! Busca la atención médica necesaria, y no sólo para solicitar la eliminación del defecto estético.

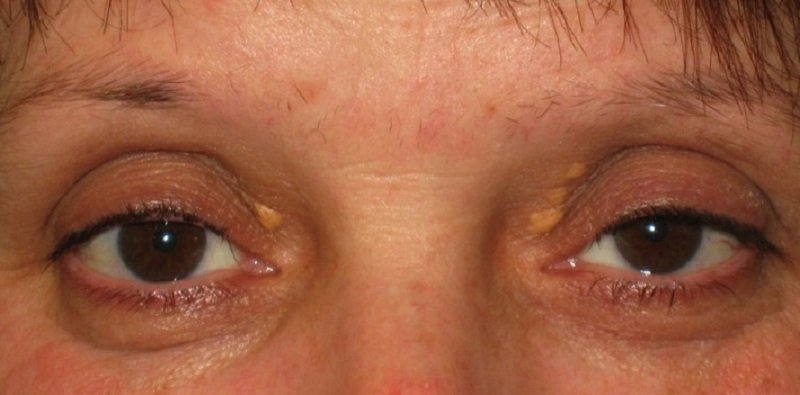
Xantelasma en los párpados
Se trata de un tipo de xantoma, llamado xantelasma palpebral – un pequeño tumor o acumulación de sustancias grasas en la piel, que forman placas o nódulos de color amarillento en el párpado o su alrededor. A primera vista, parecen ser inofensivas, pálidas y no demasiado notables. Pero incluso en este caso, su aparición es una razón suficiente para correr de inmediato al médico.
Xantelasma en los párpados puede indicar problemas de aterosclerosis y cardíacos graves, como la enfermedad cardíaca coronaria. La diabetes, hipertensión, obesidad, enfermedad hepática – son los compañeros frecuentes del xantelasma.
La principal causa de estos crecimientos desagradables es una afectación del metabolismo de los lípidos en el cuerpo, causada por una dieta poco saludable, abundancia de grasas de origen animal en la dieta y alto nivel de azúcar en la sangre.

Por más grande que sea la tentación, la eliminación del xantelasma de ninguna manera se debe realizarla en casa. ¡Nada de remedios caseros! Este procedimiento tan delicado solo se puede confiar a un médico.
Estas placas de grasa, desagradables para la vista, en sí, no son peligrosas. Pero su presencia indica a graves cambios en el organismo, que se reflejan en la salud, en general. Prestando atención a ellas, ¡se puede prevenir el accidente cerebrovascular y otras enfermedades mortales!

Retirar xantelasma se puede mediante varios métodos, incluyendo un procedimiento quirúrgico, así como por electrocauterio o láser. El procedimiento, en sí, no es tan terrible, ¡no hay que ponerse nervioso ni tener miedo! Lo más importante, en una situación como esta, es realizar un estudio, un hemograma completo, para comprobar qué es lo que pasa con el cuerpo, qué no está en orden.
La mejor manera de cuidar tu salud es regular la cantidad de grasa consumida, a fin de no enfrentar, luego, las enfermedades desagradables. ¡Una dieta equilibrada – es el mayor bien para el organismo!

Deja la pereza a un lado y no pospongas tu visita al médico. Sobre todo si observas la aparición del defecto en la piel del párpado… Transmite esta importante información a tus amigos, seguro que muy pocos saben acerca de esta grave amenaza para la salud.



