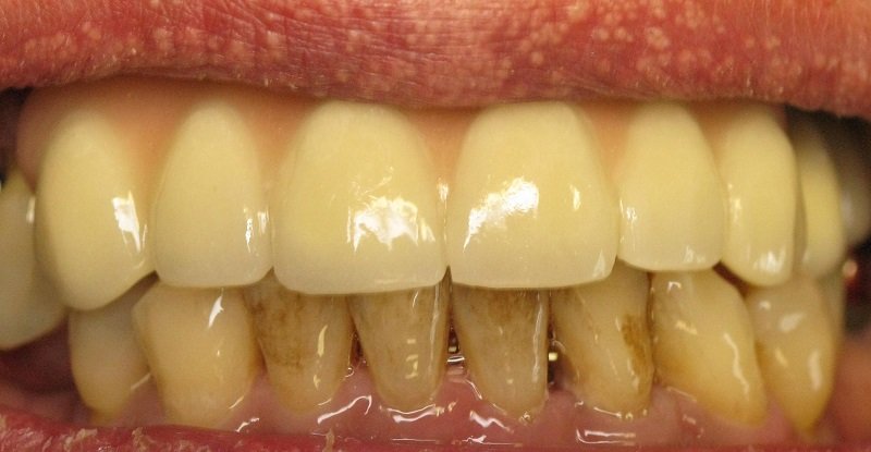
Tu cara es lo primero que nota la gente. Y no es un secreto que una sonrisa radiante puede ayudar a alcanzar muchos objetivos. No solo simboliza el optimismo y buen estado de ánimo — además, puede revelar mucho sobre la salud y los hábitos de su propietario.

La clave está en el estado de los dientes. Pueden oscurecer y volverse cariados, incluso si no sueles abusar de los dulces ni fumas. Aparte de eso, algunos productos y bebidas oscuras también pueden cambiar el color de los dientes.

Si para ti la visita al dentista es siempre un estrés, si temes pejudicar la calidad de tus dientes, o simplemente, no dispones de la suma necesaria para hacer el blanqueado por láser en una clínica, no te desanimes. La redacción de «Simplemente Genial» te contará del antiguo modo de hacerlo en casa. ¡La limpieza dental jamás ha sido tan sencilla!
Modo casero de blanquear los dientes
Necesitarás
- 2/3 vaso de vinagre de manzana
- 1/3 vaso de agua
- pasta dentífrica
- cepillo de dientes

Preparación
- Mezcla el vinagre y el agua.
- Enjuaga la boca con este líquido durante 1 minuto. Repítelo 2-3 veces, sin tragarlo. Además, puedes frotar las zonas oscuras del esmalte con un cotonete, humedecido en la solución.

- Después, enjuágate la boca con agua tibia.
- Límpiate los dientes de la manera habitual, con el cepillo de dientes y pasta dentífrica.

Repite el procedimiento no más de 3 veces a la semana. ¡El vinagre no sabe especialmente bien, pero el resultado que lograrás vale la pena! El esmalte de tus dientes pronto quedará limpio, blanco y natural. Este método no afecta a la sensitividad de los dientes, tampoco irrita las encías.

Lograr una sonrisa blanca en casa es posible. Si te fijas este objetivo y te acostumbras a hacer este procedimiento con regularidad. ¡Comparte esta útil información con tus amigos!






14 Comentarios